Pulmonary Fibrosis: Causes, Symptoms, Diagnosis, and Treatment
Pulmonary fibrosis is a chronic lung disease in which lung tissue becomes progressively scarred. The scarring affects the interstitium, the thin tissue that surrounds the air sacs where oxygen normally passes into the bloodstream. As fibrosis develops, the lungs lose elasticity and become stiff, making it increasingly difficult to breathe and exchange oxygen efficiently. The course of the disease varies widely. In some individuals the condition progresses slowly over many years, while in others lung function declines more rapidly. In many cases, especially in older adults, no clear cause can be identified. When this occurs, the condition is known as idiopathic pulmonary fibrosis. Although the scarring cannot be reversed, early diagnosis and appropriate treatment can slow progression, relieve symptoms, and improve quality of life. In selected patients with advanced disease, lung transplantation may be considered.
11/8/20253 min read
How Pulmonary Fibrosis Develops
Pulmonary fibrosis usually begins with repeated injury to lung tissue. Instead of normal repair, the healing process becomes abnormal. Fibroblasts, the cells responsible for connective tissue production, deposit excessive collagen and other extracellular matrix components.
This abnormal repair leads to thickened and rigid lung tissue. As the interstitium becomes scarred, oxygen diffusion across the lung membrane becomes more difficult. Reduced oxygen transfer results in lower oxygen levels in the blood and increased effort during breathing.
Over time, the reduced oxygen supply can place additional strain on the heart and circulatory system. In advanced disease, complications such as pulmonary hypertension and right-sided heart failure may develop.
Symptoms
Symptoms often develop gradually and worsen as the disease progresses.
Common manifestations include:
progressive shortness of breath, initially during physical activity and later even at rest
persistent dry cough without mucus production
fatigue and reduced physical endurance
unintentional weight loss
muscle or joint discomfort
enlargement and rounding of the fingertips or toes, known as digital clubbing
In the early stages, symptoms may be subtle and mistaken for aging or reduced physical conditioning. As lung function declines, everyday activities such as walking, dressing, or speaking for extended periods may become difficult.
Causes
Pulmonary fibrosis may arise from environmental exposures, medical treatments, medications, or underlying diseases. In many patients more than one contributing factor may be present.
Occupational and environmental exposures
Repeated inhalation of harmful particles can damage lung tissue over time. Substances associated with lung fibrosis include:
silica dust
asbestos fibers
metal dusts
wood, coal, or grain dust
mold spores
bird or animal droppings
People working in mining, farming, construction, manufacturing, or animal handling may have higher exposure risk if protective measures are not used.
Radiation therapy
Radiation treatment directed at the chest, often used for lung or breast cancer, can cause delayed lung injury. Radiation-induced fibrosis may appear months or even years after treatment. The severity depends on radiation dose, the portion of lung exposed, and whether chemotherapy was used simultaneously.
Medication-related lung injury
Some medications can damage lung tissue and trigger fibrotic changes. Drugs associated with pulmonary toxicity include certain chemotherapy agents, antiarrhythmic medications such as amiodarone, and some antibiotics.
If medication-related fibrosis is recognized early and the drug is discontinued, progression may slow, although existing lung damage may persist.
Medical conditions linked to pulmonary fibrosis
Fibrosis can develop secondary to systemic diseases that produce chronic inflammation.
Conditions associated with lung fibrosis include:
rheumatoid arthritis
systemic lupus erythematosus
scleroderma
polymyositis and dermatomyositis
mixed connective tissue disease
sarcoidosis
recurrent or severe pneumonia
Chronic immune activation in these disorders may gradually alter lung structure.
Idiopathic pulmonary fibrosis
In some patients no specific cause can be identified after thorough evaluation. This form, known as idiopathic pulmonary fibrosis, typically affects middle-aged and older adults.
Risk factors that appear associated with this condition include cigarette smoking, long-term exposure to air pollutants, genetic susceptibility, and gastroesophageal reflux disease. Some researchers suspect repeated microaspiration related to reflux may contribute to lung injury, although this relationship is still being studied.
Risk Factors
Several factors increase the likelihood of developing pulmonary fibrosis:
current or past smoking
occupational exposure to inhaled irritants
cancer treatments involving radiation or chemotherapy
autoimmune or connective tissue diseases
family history of pulmonary fibrosis
Although uncommon, pulmonary fibrosis may also occur in children, usually due to genetic or developmental conditions.
Possible Complications
As pulmonary fibrosis progresses, serious complications may occur.
These may include:
pulmonary hypertension caused by increased resistance in lung blood vessels
right-sided heart failure resulting from long-term strain on the heart
respiratory failure due to severe oxygen deficiency
increased risk of lung cancer
recurrent respiratory infections
pneumothorax, or collapsed lung
Some patients experience acute exacerbations, episodes in which breathing suddenly worsens over a short period of days or weeks. These events require urgent medical care.
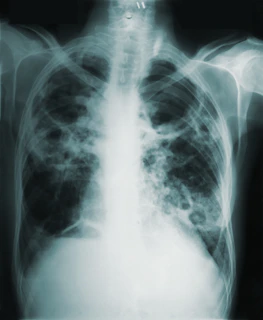
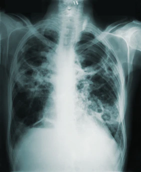
Diagnosis
Diagnosis involves integrating clinical information with imaging and functional testing.
Evaluation commonly includes:
detailed medical and exposure history
physical examination
pulmonary function tests to assess lung capacity and gas exchange
high-resolution computed tomography of the chest
blood tests to identify autoimmune or inflammatory causes
In some cases, a lung biopsy may be necessary to confirm the diagnosis and determine the specific pattern of lung injury.
Treatment and Management
Although existing lung scarring cannot be reversed, treatment aims to slow disease progression and relieve symptoms.
Management strategies may include:
antifibrotic medications that slow fibrotic progression
supplemental oxygen therapy for low oxygen levels
pulmonary rehabilitation programs to improve exercise tolerance
treatment of underlying diseases such as autoimmune conditions or gastroesophageal reflux
vaccination and preventive measures against respiratory infections
For patients with advanced disease who meet specific medical criteria, lung transplantation may offer a potential long-term treatment option.
When Medical Evaluation Is Needed
Persistent shortness of breath, chronic dry cough, or unexplained fatigue should be evaluated by a healthcare professional. Rapid worsening of breathing symptoms requires urgent medical attention, as it may indicate infection or an acute exacerbation of pulmonary fibrosis.
Early recognition allows earlier treatment and may improve long-term outcomes.
Selected Scientific References
King TE Jr, Pardo A, Selman M. Idiopathic pulmonary fibrosis. The Lancet. 2011;378(9807):1949–1961.
Raghu G, Remy-Jardin M, Myers JL, et al. Diagnosis of idiopathic pulmonary fibrosis. American Journal of Respiratory and Critical Care Medicine. 2018;198(5):e44–e68.
Lederer DJ, Martinez FJ. Idiopathic pulmonary fibrosis. New England Journal of Medicine. 2018;378:1811–1823.
Wells AU, Hirani N. Interstitial lung disease guideline. Thorax. 2008;63(Suppl V):v1–v58.
American Thoracic Society. Pulmonary fibrosis overview and management. ATS Clinical Practice Guidelines.
